Maraqlı xəbərlər
"Windows 10" ödənişli olacaq – Qiyməti açıqlandı
"Microsoft" şirkəti 2025-ci ilin oktyabrında "Windows 10"un dəstəyini dayandıracaq. xəbər verir ki, "Windows 10"un ömrü 2025-ci ilin oktyabrında başa çatır. Adi insanlar artıq təhlükəsizlik yamaları almayacaq və yeni OS-yə keçmək məcburiyyətində qalacaqlar. Korporativ müştərilə
6 aprel 2024
Bu yumurtalar dünyanı cənginə alır: HƏYƏCAN TƏBİLİ - VİDEO
Toyuq yumurtalarının qiymətlərinin daha da artması fonunda süni yumurtalar qlobal bazarları tutmaqda davam edir. Artıq Meksika bazarında da süni (saxta) yumurtalar görünməyə başlayıb. Oradan isə bu ərzaqlar ABŞ bazarlarına aparılır. Qeyd edək ki, Birləşmiş Ştatlarda quş qripi ilə əlaqədar ev quşlarını
6 aprel 2024
İlon Maskdan avqust müjdəsi: "Yeni taksilər gəlir"
Amerikalı milyarder İlon Mask avqustun 8-də "Tesla" elektromobili əsasında hazırlanmış robotaksi təqdim etməyi planlaşdırır. Bu barədə, "Tesla" avtomobil istehsalçısının sahibi özünün "X" sosial şəbəkə hesabında xəbər verib. Biznesmen bir neçə ildir ki, layihə haqqında danışır
6 aprel 2024
6 milyon dollarlıq qızıl unitaz oğurladı
39 yaşlı Ceyms Şin Uinston Çörçilin doğulduğu evdən tamamilə 18 karatlıq qızıldan hazırlanmış və dəyəri 6 milyon dollardan çox olan unitazı oğurladığını etiraf edib. -ın xarici mediaya istinadən xəbərinə görə, qızıl unitaz 2019-cu ildə italyan rəssamı Mauritsio Kattelanın "Qələbə seçim deyil"
6 aprel 2024
Psixopatlar bu mahnını dinləyir -VİDEO
Britaniyalı psixoloq və yazar Kevin Daton psixopatların davranış tərzini araşdırarkən onların əsasən rep musiqisini dinləməsi qənaətinə gəlib. -ın xarici mediaya istinadən xəbərinə görə, o, psixi xəstəliyi olan adamların əsasən məşhur müğənni Eminemi dinlədiklərini bildirib. Eminemin məşhur "Yo
5 aprel 2024
NASA Ayda bu sistemi yaradacaq
ğ Ev NASA-nın Ayda vaxtın necə təyin ediləcəyini öyrənməsini istəyir. xəbər verir ki, ABŞ-nin Elm və Texnologiya Siyasəti İdarəsinin (OSTP) rəhbəri tərəfindən göndərilən sənəddə kosmos agentliyindən Ayda vaxtın hesablanması sistemini hazırlamaq üçün digər ABŞ və beynəlxalq agentliklərlə işləmək xahi
5 aprel 2024
NASA-ya tapşırıq: - Ayda saat neçədir?
Ağ Ev NASA-nın Ayda vaxtı necə təyin edəcəyini tapmasını istəyir. "Qafqazinfo" xəbər verir ki, bu barədə "Reuters" məlumat yayıb. Belə ki, NASA-ya ABŞ-nin Elm və Texnologiya Siyasəti İdarəsinin (OSTP) rəhbəri memorandum göndərib. Bildirilib ki, kosmik agentlik 2026-cı ilin sonun
4 aprel 2024
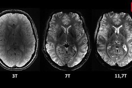
İnsan beyninin ən aydın görüntüsü dərc olunub - VİDEO
Elm adamları insan beyninin ən aydın görüntüsünü dərc ediblər. Şəkli dünyanın ən güclü maqnit rezonans tomoqrafiya (MRT) cihazı ilə əldə etmək mümkün olub. Fotonu Fransa Atom Enerjisi və Alternativ Enerji Agentliyi (CEA) yayımlayıb. Bildirilib ki, "Iseult" adlı MRT cihazı ilə çəkilən şəki
4 aprel 2024
Süni intellekt vasitəsilə ölən anası ilə söhbət etdi
Texnologiya inanılmaz sürətlə inkişaf etməyə davam etsə də, süni intellektin imkanlarının hədləri yaxşı məlum deyil. xarici mediaya istinadla xəbər verir ki, bir istifadəçi mərhum anası ilə süni intellektdən istifadə edərək əlaqə saxlasa da, nəticələr onun gözlədiyi kimi olmayıb. Texnologiya ilə inkişa
4 aprel 2024
Bu tarixdə Günəş tutulması baş verəcək
Aprelin 8-də Şimali Amerikanın bəzi hissələrindən görünəcək tam Günəş tutulması baş verəcək. Tam Günəş tutulmasının müddəti onu müşahidə etdiyiniz yerdən asılı olacaq. Ölkə.Az xəbər verir ki, təbiət hadisəsi ümumilikdə 3 saat 16 dəqiqə 45 saniyə davam edəcək. Bu, yalnız Şimali Amerikada 185 km eni ola
4 aprel 2024
ABŞ hakimiyyəti "YouTube"dan istifadəçi məlumatlarını açıqlamağı tələb edib
ABŞ federal müstəntiqləri "Google"dan "YouTube" platformasında müəyyən videolara baxan bütün istifadəçilər haqqında məlumat verməsini tələb ediblər. Bildirilib ki, hüquq-mühafizə orqanları Kentukki və Nyu-Hempşir ştatlarında "YouTube" istifadəçilərinin kimliyini öyrənməy
31 mart 2024
Bu otaqlarda divar kağızı yapışdırmaq olmaz - Təhlükəlidir
Bir çox ev sahibləri mənzilin bütün otaqlarına divar kağızı yapışdırır. Ancaq bu doğru deyil. xarici mediaya istinadən xəbər verir ki, bəzi otaqlara divar kağızı vurmamaq məsləhətdir. Bunlara misal olaraq vanna otağı, dəhliz və mətbəxi deyə bilərik. Mütəxəssislərin fikrincə, hamamda divar kağızı yapışdırmamalısınız
31 mart 2024
Dünyanın ən çətin dili hansıdır?
İnsanlardan hansı dili ən çətin hesab etdiyini soruşsanız, yəqin ki, Çin və ya ərəb deyəcək. Amma dilçilərin fərqli baxış bucağı var, çünki elm obyektiv yanaşmaya riayət edir. Hansı dil ən çətindir?. xarici KİV-ə istinadən xəbər verir ki, hətta 20-25 il əvvəl əsas fikir belə idi ki, bütün dillər eyn
31 mart 2024
Süni intellekt təəccübləndirməkdə davam edir: Bəzi insanları narahat edən yeni ixtira
Süni intellekt startapı "OpenAI" 15 saniyəlik tək səs nümunəsindən təbii səslənən insan nitqini təkrarlaya bilən rəqəmsal səs generatorunun ilkin versiyasını təqdim edib. Bu barədə "ChatGPT"nin yaradıcıları məlumat veriblər. Proqram "Voice Engine" adlanır. İxtiraçılar generator
31 mart 2024
"WhatsApp"da yeni qaydalarla razılaşmayanların hesabları bloklanacaq – Bu tarixdən
Yazışmalarınıza və hesabınıza girişi saxlamaq üçün yeni şərtlərlə razılaşmalısınız. xarici mediaya istinadla bildirir ki, dünyanın ən məşhur mesajlaşma proqramı WhatsApp məxfilik siyasətini və xidmət şərtlərini yeniləyir. İstifadəçilər aprelin 11-dək yeni qaydalarla razılaşmalıdırlar, əks halda onları
31 mart 2024
Valideynlər qızlarına dişlərinə baxıb ər alırlar: Qeyri-adi bazar
Hindistanın Madxubani şəhərində qeyri adi bazar 700 ildir ki fəaliyyət göstərir. Bazarın ilk təçkilatçısı Raca Xari Sinqx olub. baku-tv-yə istinadən xəbər verir ki, bu bazarda meyvə tərəvəz, cürbəcür qidalar yox, kişi satılır. Daha doğrusu, qızlar öz valideynləri ilə bura gəlib özlərinə ər alırlar. B
31 mart 2024
İstanbulda seçici məntəqədə özü ilə gətirdiyi toyuqla səs verib
Türkiyənin İstanbul şəhərində 60-65 yaşlı vətəndaş bələdiyyə seçkilərində səs vermək üçün məntəqəyə çiynində toyuqla birlikdə gəlib. Bu barədə "Report" "Haber Global"a istinadən xəbər verir. Onun məntəqəyə gəlişi seçicilərin marağı və gülüşünə səbəb olub. Qeyri-adi seçici toyuğu
31 mart 2024
Diş ağrısı ilə yatıb 32 il sonra oyandı
1862-ci ildə İsveçin Oknö bölgəsində 5 uşaqlı bir ailənin tək qızı olaraq dünyaya gələn Karolina Olsson başına gələn qeyri-adi hadisə ilə adını tibb tarixinə yaza bilir. qafqazinfo-ya istinadən xəbər verir ki, o, 14 yaşı olarkən diş ağrısı ilə yuxuya gedir. Bu yuxu düz 32 il sürür. Belə ki, bir gün Karolin
31 mart 2024
Alimlərdən Marsla bağlı inanılmaz kəşf
ABŞ Milli Aeronavtika və Kosmik Tədqiqatlar İdarəsinin (NASA) alimləri müəyyən ediblər ki, Mars dərhal susuzlaşmayıb. Planetdə zamanla rütubət və quraqlıq dövrləri bir-birini əvəz edib. Bu barədə Kosmik Agentliyin rəsmi saytında məlumat verilib. Tədqiqatçıların qənaətləri "Curiosity" roverini
31 mart 2024
Kaftar sürüsünün yanından keçən qadın HEYRƏTƏ GƏTİRDİ - VİDEO
Kəndli qadının cəsarəti insanları təəccübləndirib. xəbər verir ki, gecə saatlarında kaftar sürüsünün yanından qorxmadan keçən qadının cəsarəti görənləri heyrətləndirib. Onlara məhəl qoymadan yanlardan keşmə görüntüləri sosial şəbəkələrdə də gündəm olub
31 mart 2024
Bir müddət əvvəl kiloqramı 500 manata təklif olunan alça kəskin ucuzlaşıb - VİDEO
Bazarlarda bir-iki həftə əvvəl bir kiloqramı 400-500 manata təklif olunan alça indi 100 manata satılır. -ın məlumatına görə, mart ayının əvvəllərində bazarlarda kilosu 500 manata satılan alçaların qiyməti enib. Satıcılar bildiriblər ki, qiymətin enməsinə səbəb mövsümün yaxınlaşmasıdır. Onların sözlərin
31 mart 2024
Zirəddindən 2024-2025-ci il üçün DƏHŞƏTLİ PROQNOZ - VİDEO
Ekstasens Zirəddin Rzayev 2024-2025-ci illər dəhşət doğuran proqnozlar verib. xəbər verir ki, o, "Künc-bucaq" youtube layihəsində verdiyi açıqlamalarla yeni virusun yaıyılacağını bildirib. Bundan əlavə, iki il ərzində zəlzələ və vulkanlar kimi təbii fəlakətlərin baş verəcəyini də qeyd edib
31 mart 2024
"Bayraktar TB3"ün ikinci prototipi daha bir sınaqdan uğurla çıxdı
"Bayraktar TB3"ün ikinci prototipi üçüncü uçuş testini müvəffəqiyyətlə tamamlayıb. Sınaqla bağlı açıqlama "Baykar" İdarə Heyətinin sədri Səlcuq Bayraktarın sosial şəbəkə hesabından verilib. Bildirlib ki, uçuş zamanı "orta hündürlük sisteminin identifikasiyası və performans testi"
31 mart 2024
Azərbaycan polad və dəmir məftil idxalını niyə kəskin artırıb? - ARAŞDIRMA
Azərbaycan Gürcüstandan dəmir və polad məftil alışını 100 dəfəyə yaxın artırıb. Ötən il Azərbaycana 15,4 milyon ABŞ dolları dəyərində 15 518 ton dəmirdən və ya aşkarlanmamış poladdan məftil idxal edilib. Bu rəqəmin birdən-birə bu qədər artması müəyyən suallar doğurur. Daxili polad və dəmir istehsal
30 mart 2024
Bir insana səhv qan qrupu versək nə olar?
Bir insana səhv qan növü verilsə, onun immun sistemi donorun qırmızı qan hüceyrələrinə hücum etməyə başladığı bir aglütinasiya reaksiyası meydana gəlir. xarici mətbuata istinadən xəbər verir ki, bu proses kəskin böyrək çatışmazlığına, şoka və hətta ölümə səbəb ola bilər. Məlumdur ki, qan qrupları antigenləri
30 mart 2024
Bir insan maksimum neçə il yaşaya bilər? - Mümkün olan yaş hesablandı
İnsan ömrünün uzunluğu zaman-zaman araşdırılsa da, tam dəqiq cavab ala bilməyiblər. Ancaq müşahidələr onu göstərir ki, insan ömrü uzanıb. xarici KİV-ə istinadən xəbər verir ki, 21-ci əsrin sonunda insanlar 130 ilə qədər yaşaya, maksimum ömür isə 180 ilə çata bilər. Riyaziyyat elmləri namizədi və tədqiqatı
30 mart 2024
"Android" rabitə operatorlarına istifadəçiləri izləməyi qadağan edəcək
"Android 15" əməliyyat sisteminin (ƏS) buraxılması ilə istifadəçilər öz geolokasiyalarının mobil operatorlara ötürülməsinə nəzarət edə biləcəklər. Beləliklə, "Android 15" əməliyyat sistemi ilə işləyən smartfonların istifadəçiləri fövqəladə vəziyyət rejimi aktiv olarkən və xüsusi ehtiya
30 mart 2024
Yumurtanı qabın kənarına vurub QIRMAYIN – SƏBƏB
Toyuq yumurtası səhər yeməyi, nahar və ya şam yeməyinin hazırlanmasında istifadə edilən ən məşhur məhsullardan biridir. xəbər verir ki, aşpazlar arasında yumurtaların istifadə edilməzdən əvvəl yuyulması ilə bağlı uzun illərdir mübahisələr davam edir. Aşpazların əksəriyyəti yemək hazırlayarkən yumurtan
30 mart 2024
Telefona mütləq istirahət verilməlidir – Çox sadə üsullarla
Mobil cihazlar aylarla fasiləsiz işləməməlidir. Bəzən mobil cihazlara istirahət vermək lazımdır. Əks halda batareya erkən sıradan çıxacaq. xəbər verir ki, ən azı həftədə bir dəfə smartfonu yenidən işə salmaq və ya söndürmək lazımdır. Bəs, istifadəçi bu iki hərəkətdən hansını seçməlidir?. Yenidən başlamağı
30 mart 2024
Cütlüklərə XƏBƏRDARLIQ: Yaranan mübahisəni dayandırmağın 3 QAYDASI
Hər bir cütlük arasında müxtəlif zamanlarda mübahisə baş verir. Ancaq iki tərəf də bu mübahisələri oturub sakit danışmaqla həll etməyi düşünməlidirlər. xarici KİV-ə istinadən xəbər verir ki, sevdiyi kişi ilə mübahisəni zərərsiz dayandırmağın yollarını axtarmağa başlayan qadın bir neçə vacib qaydalar
30 mart 2024
Hamının sevərək yediyi balıq ZƏRƏRLİ İMİŞ
Qış geri QAYIDIR: Dolu düşəcək, qar yağacaq
Dolma bişirərkən suyuna nə əlavə edilməlidir?
Azərbaycanda əhali sürətlə qocalacaq - Ekspertdən HƏYƏCAN TƏBİLİ
Bu şəxslər ÖMÜRLÜK PENSİYA ALACAQ
Üç övladı olan valideynləri SEVİNDİRƏCƏK XƏBƏR
Universitetlərlə bağlı gözlənilən qərar: Tələbə ancaq tələbəni görəcək?
Sumqayıtda bayram tonqalında baş vermiş partlayışda xəsarət alanların kimliyi məlum oldu - YENİLƏNİB+VİDEO
İllərlə istifadə etdiyiniz torpağı özəlləşdirmək mümkündür: Şərtlər nədir? - VİDEO
Balıq bahalaşıb? - Bakıda bazar qiymətləri BELƏDİR
Rusiyada qəza enişi edən təyyarədə azərbaycanlı məşhurlar olublar - VİDEO
Sumqayıtda tonqal belə partladı - ANBAAN GÖRÜNTÜLƏR
İran Trampın ultimatumuna CAVAB VERDİ
Dəfnə yarpağı sayəsində milyonlar qazandı
Azərbaycanın müdafiə naziri Türkiyə və Qətərə başsağlığı verib
