Bu ölkədə naməlum xəstəlikdən 3 nəfər öldü

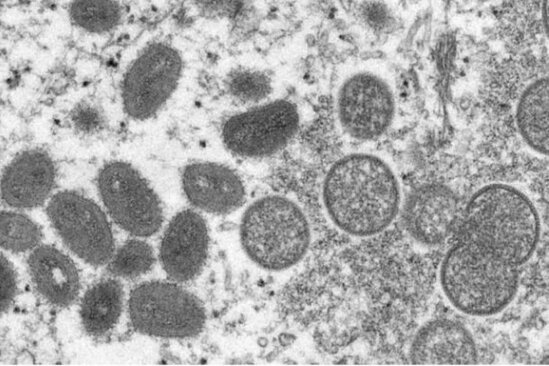
Bu ölkədə naməlum xəstəlikdən 3 nəfər öldüArgentinada həftə ərzində naməlum mənşəli pnevmoniyadan 3 nəfər ölüb.

Sonxeber.az-ın Lent.az-a istinadla xəbərinə görə, ölüm halları ölkənin cənubundakı Tukuman şəhərində qeydə alınıb.
Xəstəliyə tutulan 9 nəfərdən səkkizi eyni xəstəxanada işləyir. Laborator analizlər zamanı onlarda Covid-19, qrip, hantavirus (gəmiricilərdən keçən virus) aşkar edilməyib. Analiz nümunələri təkrar yoxlanmaq üçün paytaxt Buenos Ayresdəki Mərkəzi laboratoriyaya göndərilib.

Argentina Səhiyyə Nazirliyi bildirir ki, patologiyanın səbəbi naməlum virus ola bilər. Bu məqsədlə xəstəxananın su sistemindən və kondisionerlərdən nümunələr götürülüb.


Sonxeber.az
Telegramda izləyin
Dünyada   Baxılıb: 868   Tarix: 02 sentyabr 2022  

Şikayətiniz varsa Whatsapp: 077 7125666

Facebookda Paylaş


Oxşar xəbərlər

.

Ukrayna Rusiya Paralimpiya Komitəsinə qarşı sanksiyalar tətbiq edib

Ukrayna Prezidenti Volodimir Zelenski Rusiyanın üç vətəndaşına və iki hüquqi şəxsə qarşı sanksiyalar tətbiq edib. "Report"un məlumatına görə, Ukrayna Prezidentinin müvafiq fərmanı dövlət başçısının saytında dərc olunub. Məhdudiyyətlər, xüsusən də Rusiya Paralimpiya Komitəsinə və Rusiya Kompüte

18 yanvar
.

İran hakimiyyəti etirazlar zamanı minlərlə insanın öldürüldüyünü etiraf etdi

İran hakimiyyəti etirazlar zamanı minlərlə insanın öldürüldüyünü təsdiqləyib. xəbər verir ki, bu barədə İranın ali rəhbəri Əli Xamenei "X" hesabında yazıb. O bildirib ki, aksiyalar zamanı 250 məscid, 250-dən çox təhsil və elm mərkəzi vandallığa məruz qalıb. Xameneinin sözlərinə görə, etirazlard

18 yanvar
.

İstanbulda qar fırtınası: Uçuşlar ləğv edildi

İstanbulun bütün rayonlarına mövsümün ilk güclü qarı yağıb. "RİA Novosti"yə istinadən xəbər verir ki, bazar günü günortadan sonra şəhərin əksər əraziləri ağ örpəyə bürünüb. Qar güclü küləklə müşayiət olunur. Sinoptiklər hər kvadratmetrə 3-7 kq qar yağacağını proqnozlaşdırırlar. Onlar nəqliyyatd

18 yanvar
.

Suriyada ilk dəfə kürd dili dövlət dili kimi tanınıb

Suriya Prezidenti Əhməd əl-Şaraa kürdlərin hüquqlarını qoruyan fərman imzalayıb. Orada kürdlərin Suriya cəmiyyətinin ayrılmaz hissəsi olduğu və ölkə tarixində ilk dəfə olaraq kürd dilinin dövlət dili kimi tanındığı bildirilib. "Report"un xəbərinə görə, bu barədə AFP məlumat yayıb. Fərmana əsasən

18 yanvar
.

Amerika lideri: Hazırda Venesuelaya ABŞ nəzarət edir

ABŞ Prezidenti Donald Tramp iddia edib ki, hazırda Venesuelaya ABŞ nəzarət edir. "Report"un məlumatına görə, bunu Donald Tramp Palm-Biçdəki (Florida ştatı) küçələrdən birinin adının onun şərəfinə dəyişdirilməsi münasibətilə etdiyi çıxışında bildirib. O, həmçinin Venesuela prezidenti Nikola

18 yanvar
.

KİV: Karni Trampın Qəzza üzrə Sülh Şurasına daxil olmaq təklifini qəbul edib

Kanada Baş naziri Mark Karni ABŞ Prezidenti Donald Trampın Qəzza sektorunu idarə edəcək Sülh Şurasına daxil olmaq təklifini qəbul edib. "Report" xəbər verir ki, bu barədə "The Globe and Mail" qəzeti adı açıqlanmayan mənbəyə istinadən məlumat yayıb. Onun sözlərinə görə, Karni Trampı

18 yanvar
.

Netanyahu: Qəzzanın idarə edilməsi üzrə şuranın tərkibi İsrail ilə razılaşdırılmayıb

Qəzza sektorunun idarə edilməsi üzrə şuranın tərkibi İsrail tərəfindən razılaşdırılmayıb və onun siyasətinə ziddir. "Report"un məlumatına görə, bu barədə İsrailin hökumət başçısı Benyamin Netanyahunun dəftərxanası bəyanat yayıb. "Sülh Şurasına tabe olan Qəzzanın idarə edilməsi üzrə şuranı

18 yanvar
.

Avstraliya çimərliklərdə sirli kürələrlə mübarizə aparmaq üçün milyardlarla dollar xərcləyəcək

Avstraliyanın Yeni Cənubi Uels ştatının hökuməti Sidney çimərliklərini narahat edən qəribə kürələrlə mübarizə üçün milyardlarla dollarlıq plan açıqlayıb. xəbər verir ki, bu barədə .au məlumat verib. Ekoloqların tapıntılarına cavab olaraq, hökumət növbəti 10 il ərzində Malabar çirkab sularının təmizlənməs

18 yanvar
.

Hindistan Ermənistana "Pinaka" idarə olunan raketlər göndərib

Hindistanın müdafiə naziri Rajnat Singh, Naqpurdakı "Solar Defence and Aerospace Limited" (SDAL) zavodundan Ermənistana ilk "Pinaka" idarə olunan raketlərin göndərildiyini açıqlayıb. "Report" xəbər verir ki, bu barədə "Hindu Business Line" məlumat yayıb. Ermənista

18 yanvar