DƏHŞƏT:2 il əvvəl doğan qadın keçməyən ağrılara görə xəstəxanaya getdi, həyatının şokunu yaşadı

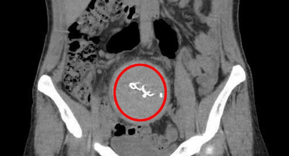
DƏHŞƏT:2 il əvvəl doğan qadın keçməyən ağrılara görə xəstəxanaya getdi, həyatının şokunu yaşadıQadın davamlı ağrılar səbəbilə həkimə müraciət edib. Həkimlərin dediklərini eşidən qadın həyatının şokunu yaşayıb.

Sonxeber.az xəbər verir ki, hadisə Türkiyənin Antalya şəhərində baş verib.

Belə ki, 2 ildir ağrılar və irin axıntısı davam edib. Bu müddət ərzində müraciət etdiyi xəstəxanalardan heç bir nəticə ala bilməyən gənc qadın 2 il ağrıdan sonra 2 ay əvvəl Antalya Təhsil və Araşdırma Xəstəxanasına müraciət edib. 2 il əvvəl uşaq dünyaya gətirən qadın davamlı ağrılar səbəbilə müraciət etdiyi xəstəxanada qarnında steril parça unudulduğunu öyrənib. Çəkdiyi ağrıdan uşağını belə yedirə bilmədiklərini bildirən qadın xəstəxananı və həkimi məhkəməyə verəcəyini bildirib./BiG.AZ


Sonxeber.az
Telegramda izləyin
Dünyada   Baxılıb: 3044   Tarix: 30 noyabr 2023  

Şikayətiniz varsa Whatsapp: 077 7125666

Facebookda Paylaş


Oxşar xəbərlər

.

Dünyanın ən nüfuzlu insanları açıqlandı

ABŞ-ın "Time" jurnalı 2021-ci ildə dünyanın ən nüfuzlu insanlarının siyahısını açıqlayıb. 100 nəfərdən ibarət siyahı "Liderlər", "İxtiraçılar", "İncəsənət xadimləri", "Yenilikçilər" kimi bir neçə bölməyə ayrılıb. Siyasətçilər arasında reytinqə ABŞ-ı

16 sentyabr 2021
.

Niderlandda bıçaqlı hücum: Ölən və yaralananlar var

Niderlandın Almelo şəhərində bıçaqlı hücum nəticəsində iki nəfər həlak olub, bir nəfər isə xəsarət alıb. Trend-ə istinadən bildirir ki, bu barədə Niderland polisi bildirib. Qeyd olunur ki, hücum edən şəxs özü yaralı vəziyyətdə saxlanılıb. Polis hücumun qarşısını almaq üçün atəş açmalı olub. Hadisəni

17 sentyabr 2021
.

DƏHŞƏTLİ QƏTL: Ailəsi ilə görüşə getdi, sevgilisini və özünü güllələdi - FOTO

Moldovada eyni vaxtda qətl və intihar hadisəsi baş verib. bu barədə Publika-ya istinadən xəbər verir. Bildirilib ki, qətl sentyabrın 12-də Hinceşti rayonunun Fundul Galbenei kəndində baş verib. Qeyd olunur ki, sevdiyi qızın qohumları ilə görüşə gələn gələcək kürəkən arasında mübahisə baş verib. 28 yaşl

16 sentyabr 2021
.

Qapını açdıqda ərini deyil, naməlum kişini gördü - Ona elə vəhşilik yaşatdı ki... - VİDEO

Bursada gecə saatlarında baş verən hadisə hər kəsin qəzəb və qorxusuna səbəb olub. -a istinadən xəbər verir ki, evdə ərini gözləyən Necibiye B. qapını açdıqda ərini deyil, oğrunu görüb. O da ona olmazın zülm verib. Başını divara vurub, sonra da bıçaqlayıb. Oğru hadisə yerindən qaçarkən qadın qışqırara

17 sentyabr 2021
.

Cərrahın eynəyi oğurlandı - Xəstələr əməliyyatsız qaldı

İngiltərənin Birminqem şəhərində ürək cərrahı Stiven Runi ürək əməliyyatı zamanı taxdığı fərdi durbin eynəkləri oğurlandığından onlarla xəstə əməliyyat oluna bilməyib. xəbər verir ki, bu barədə The Birmingham Mail məlumat yayıb. Oğurluq 11 sentyabr günü həkimin xəstəxananın kənarında dayanmış avtomobilində

15 sentyabr 2021
.

Mənzili alovlara bürünən şəxs yanğınsöndürənləri karnizdə gözlədi – VİDEO

Mənzilində çıxan yanğından xilas olmağa çalışan kişi yanğınsöndürənləri binanın divarında quraşdırılmış karnizdə gözləyib. Yanğın Rusiyanın Anapa şəhərində baş verib. Bununla bağlı kadrlar sosial şəbəkələrdə paylaşıb. Son məlumatlara görə yanğın söndürülüb, zərərçəkən yoxdur

17 sentyabr 2021
.

Toyda o qədər pul yığıldı ki, 4 nəfər güclə daşıdı - VİDEO

Siirtdə keçirilən qəbilə toyunda bəyin pulu daşıması görüntüləri böyük maraq doğurub. " "a istinadən xəbər verir ki, çoxlu sayda qonağın iştirak edən toy şəhərin tanınmış simalarından birinin oğlu üçün baş tutub. Bəy pulu daşımaq üçün yanında olan daha 3 nəfərdən kömək istəyib. Bəy və yoldaşlarını

17 sentyabr 2021
.

Təqib etdiyi kişini öldürüb ətrafdakıları da yaraladı - ANBAAN VİDEO

İstanbulun Esenyurt rayonunda daşınmaz əmlakın alqı-satqısı ilə məşğul olan kişi küçədə silahlı hücuma məruz qalıb. " "a istinadən xəbər verir ki, hadisə ərazidə olan təhlükəsizlik kamerası tərəfindən qeydə alınıb. Videoda öldürülən şəxsdən başqa hadisənin yaxınlığında olan qadının da güll

16 sentyabr 2021
.

Paşinyana görə deputatlardan şüşə butulkalar yığıldı

Ermənistan parlamentində Baş nazir Nikol Paşinyanın təhlükəsizliyinin təmin olunması üçün iclas zalındakı su şüşələri yığışdırılıb. -a istinadən xəbər verir ki, bir neçə gün öncə ölkənin qanunverici orqanında hakim və müxalif partiya nümayəndələri arasında baş verən kütləvi davalarda təkcə yumruqlarda

16 sentyabr 2021