3 yaşlı uşağın boğazından 19 maqnit çıxarıldı
Türkiyədə 3 yaşlı uşağın boğazından 19 ədəd maqnit çıxarılıb.
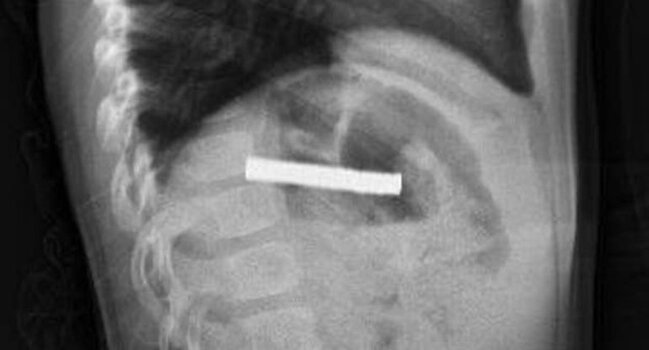
Ölkə.az xəbər verir ki, Ərzurumda uşaq evdə tapılan 19 maqniti udub.
Vəziyyəti pisləşəndən sonra ailə xəstəxana ilə əlaqə saxlayıb.
Uşaq daha sonra Elazığa köçürülüb.
Fırat Universitetinin Uşaq Qastroenterologiyası, Hepatologiya və Qidalanma kafedrasının müdiri Prof.Dr.Yaşar Doğan endoskopik üsulla uşağın qida borusuna ilişib qalmış 19 maqniti çıxarıb.
Maqnitlər uzun müddət qida borusunda ilişib qalıb, yemək borusu və mədə girişində zədələr yaranıb.
Uşağın səhhətinin yaxşı olduğu və evə buraxıldığı öyrənilib.(medicina)


Sonxeber.az
Telegramda izləyin
Dünyada Baxılıb: 397 Tarix: 13 oktyabr 2025
Şikayətiniz varsa Whatsapp: 077 7125666
Facebookda Paylaş
Dünyada ən sürətli heyvan hansıdır?
Bir çox insanı Yer üzündə ən sürətli heyvanın hansısı olduğu maraqlandırır. Qaynarinfo "IFLScience" jurnalına istinadən xəbər verir ki, bu suala cavab verərkən heyvanların yaşadığı mühiti nəzərə almaq lazımdır. Buna görə nəşr quru, dəniz və səma kateqoriyalarını ayırıb. Quruda ən sürətli heyvan
15 dekabrHonkonqdakı güclü yanğının vurduğu zərərin məbləği açıqlandı
Honkonqdakı yaşayış kompleksində baş vermiş güclü yanğının vurduğu zərərin məbləği beş milyard Honkonq dollarını (642 milyon ABŞ dollarından çox) keçib. bildirir ki, bu barədə məlumatı "South China Morning Post" qəzeti faciədən sonra iqtisadi itkilərin qiymətləndirilməsi ilə məşğul olan ekspertlər
14 dekabrSonsuz yalan danışırlar: Xroniki yalançıların 11 vərdişi
Psixoloqlar xroniki yalançıların 11 əlamətini açıqlayıb və daim manipulyasiya edən insanı necə asan və tez tanımağın mümkün olduğunu izah ediblər. Qaynarinfo xəbər verir ki, bu barədə "Your Tango" yazıb. Xroniki yalan - tək-tük uydurmalar və ya "zərərsiz" şişirtmələr deyil, həm insanı
15 dekabrBritaniya kralı xərçəng xəstəliyi ilə mübarizəsindən danışıb
"Xərçəng xəstəliyinin erkən diaqnozu müalicənin gedişatına müsbət təsir göstərib". xəbər verir ki, bu barədə Böyük Britaniya Kralı II Çarlz bildirib. O, vaxtında müayinələrin minlərlə insanın həyatını xilas edə biləcəyini vurğulayıb. "Sizinlə xoş xəbəri bölüşə bilərəm: erkən diaqnoz, effekti
14 dekabrRubio: Ruandanın Konqodakı fəaliyyəti sülh sazişinin pozulmasıdır
Ruanda qonşu Konqo Demokratik Respublikasına (KDR) qarşı etdikləri ABŞ Prezidenti Donald Trampın iştirakı ilə iki Afrika dövlətinin liderləri tərəfindən Vaşinqtonda imzalanmış sülh sazişini pozur. "Report" xəbər verir ki, bu məlumatı ABŞ dövlət katibi Marko Rubio "X" sosial şəbəkəsind
14 dekabrQəzzanın mərkəzində HƏMAS-ın yüksək rütbəli zabiti güllələnib
HƏMAS-ın daxili təhlükəsizlik qüvvələrinin yüksək rütbəli zabiti Qəzanın mərkəzində silahlı şəxslər tərəfindən öldürülüb. "Report" xarici mediaya istinadən xəbər verir ki, bu barədə hərəkatın nəzarətində olan Daxili İşlər Nazirliyi məlumat yayıb. Məlumata görə, polkovnik-leytenant Əhməd Zəmzə
14 dekabrDünyada neçə pişik var? Hesablamalar aparılıb
Pişiklərin sayılması çox təxmini hesablanır, çünki burada siyahıyaalmalar aparmaq mümkün deyil. Pişiklər itlərlə yanaşı ən populyar yoldaş heyvanlardır. Bir çox insan onları mənzillərdə və ya şəxsi həyətlərdə saxlayır. Şəhərlərdə də çox sayda küçə pişiyi var. Bəs planetimizdə nə qədər pişik var? . -ı
14 dekabrHəkim məsləhəti: Kitab oxumağın insan sağlamlığına FAYDALARI
"Yeni il hədiyyəsi olaraq kitab vermək sevdiyiniz insanın sağlamlığına göstərilən qayğı kimi dəyərləndirilə bilər. Kitab oxumaq beyinə hərtərəfli təsir göstərən unikal idrak məşqidir". xəbər verir ki, bunu tanınmış rusiyalı nevroloq Yekaterina Demyanovskaya -ya açıqlamasında kitab oxumağı
14 dekabr