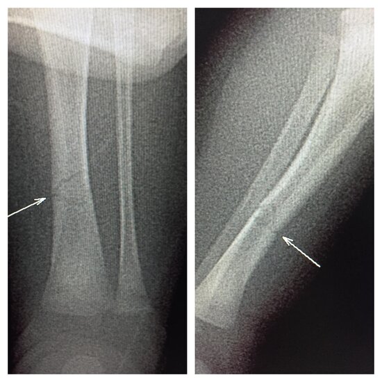
Bakıda 18 günlük körpənin qolu sındırıldı - FOTO
Bakıda 18 günlük körpənin qolu sınıb.
Lent.az-ın məlumatına görə, hadisə bir neçə gün əvvəl paytaxt ərazisində baş verib.
Məlumata əsasən, uşağın qolu 5 yaşlı bacısı tərəfindən ehtiyatsızlıqdan sındırılıb. Belə ki, o bilmədən əlindəki telefonu körpənin qoluna vurub və nəticədə uşağın qolu sınıb.
Dərhal körpə valideynləri tərəfindən özəl xəstəxanalardan birinə aparılıb. Müayinəsi davam etdirilir.

Sonxeber.az
Telegramda izləyin
Hadisə Baxılıb: 1491 Tarix: 20 dekabr 2021
Şikayətiniz varsa Whatsapp: 077 7125666
Facebookda Paylaş
Restoranın aşpazı boğulmaq üzrə olan körpəni görün necə xilas etdi - VİDEO
Kahramanmaraşda restoranda baş verən hadisə faciənin bir addımlığında dayanıb. Yemək zamanı boğazına yad cisim düşən körpə nəfəs ala bilmədiyi üçün təhlükəli vəziyyətə düşüb. Restoranda çalışan aşpazın operativ müdaxiləsi sayəsində körpənin həyatı xilas edilib. türk mediasına istinadən xəbər verir ki
10 fevralYolda qarşısını kəsdiklərinə görə 2 nəfəri öldürdü: "Qürur duyuram" - VİDEO
Türkiyənin Niğde vilayətində yol-nəqliyyat hadisəsi səbəbindən iki tərəf arasında yaranan mübahisə qanlı insidentlə nəticələnib. Hadisə zamanı Hamza C. silahla atəş açaraq iki nəfərin ölümünə, bir nəfərin isə ağır yaralanmasına səbəb olub. türk mediasına istinadən xəbər verir ki, məlumata görə, tərəflə
9 fevralİsmayıllıda maşın 36 yaşlı piyadanı vurdu
İsmayıllıda avtomobil piyadanı vurub. -ın məlumatına görə, hadisə rayonun Xanagah kəndi ərazisində qeydə alınıb. Belə ki, fevralın 7-də saat 2 radələrində Zaur Bilalov idarə etdiyi "Opel" markalı avtomobillə hərəkətdə olarkən yolu keçən piyada, 36 yaşlı Cavad Xəlilovu vurub. Piyada aldığı xəsarətlərdə
7 fevral38 yaşlı kişi velosipeddən yıxılıb ÖLDÜ
Ağdaş sakini velosipeddən yıxılıb ölüb. report-a istinadən xəbər verir ki, hadisə rayonun Aşağı Ləki kəndində qeydə alınıb. Belə ki kənd sakini 38 yaşlı Ə.Qədrov velosiped sürərkən yıxılıb və ağır xəsarət alıb. Yaxınları Ə.Qədirovu xəstəxanaya aparılarkən yolda ölüb. Onun epilepsiya xəstəsi olduğu bildirilir
9 fevralYaşlı qadın baqaj lentini hərəkət zolağı zənn etdi - VİDEO
Hava limanlarından birində maraqlı və eyni zamanda təhlükəli anlar yaşanıb. xəbər verir ki, yaşlı qadın sərnişin baqaj lentini hərəkət edən yol zənn edərək onun üzərinə çıxıb. Hadisə zamanı qadın müvazinətini itirərək yıxılıb. Baş verənlər ərazidə quraşdırılmış müşahidə kameraları tərəfindən qeydə alınıb
12 fevralTəyyarə endikdən saniyələr sonra pilotlar güllələnərək öldürüldü - VİDEO
İndoneziyanın Cənubi Papua bölgəsində sərnişin təyyarəsinə silahlı hücum edilib. xarici mediaya istinadənə xəbər verir ki, Smart Air aviaşirkətinə məxsus sərnişin təyyarəsi çərşənbə günü Cənubi Papuada yerləşən Korovai Batu hava limanına problemsiz eniş edib. Lakin təyyarə eniş zolağında olduğu vax
12 fevralOdun sobasını yandırmağa çalışan yeniyetmə canından oldu
Muğlanın Seydikemer rayonunda kömür sobasının alovlanması nəticəsində ağır xəsarət alan 11 yaşlı Ceylin Öztürk xəstəxanada vəfat edib. türk mediasına istinadən xəbər verir ki, hadisə bir neçə gün əvvəl Seydikemerin Yayla Ceylan məhəlləsində baş verib. Məlumata görə, evdə kömür sobasını alışdırmağa çalışa
9 fevral