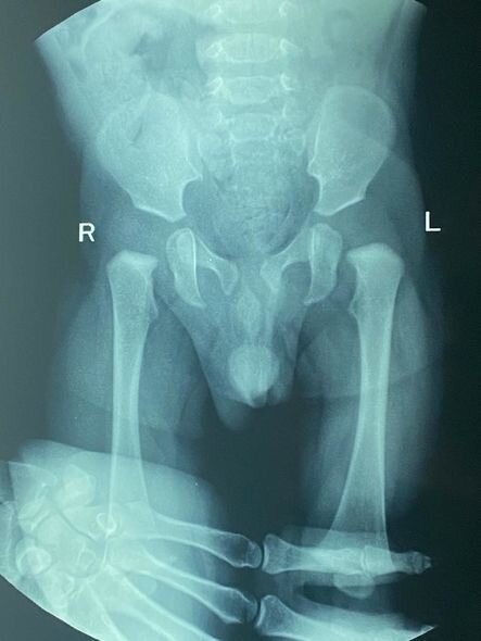
Körpə Zeydin müalicəyə ehtiyacı var: "Maddi cəhətdən tam tükənmişik" - FOTO
Doqquzaylıq Zeydin yardıma ehtiyacı var.
Bu barədə Oxu.Az-a onun anası Mira Pənahlı məlumat verib.
O bildirib ki, övladında anadangəlmə oynaq başcıqları formalaşmayıb.
"Zeyd doqquzaylıqdır. Anadan olanda onda oynaq başcıqlarının formalaşmadığını öyrəndik. İlk gündən də müalicələrə başlamışıq. Hazırda Zeyd xüsusi korset taxır. Müalicələrini bir müddət də davam etdirib, daha sonra əməliyyat olunacaq. Hazırda müalicələr üçün 800 manata ehtiyacımız var".
Mira Pənahlı Zeydin onun tək övladı olduğunu deyib.
"Zeyd bizim tək övladımızdır. İnanın, maddi cəhətdən əlimizdən gələn hər şeyi etməyə çalışırıq. Özümüz kirayədə yaşayırıq, yoldaşım isə fəhləlik edir. Yardımsevər şəxslərdən bizə dəstək olmaqlarını xahiş edirəm".
Ailə ilə əlaqə: (055) 443-59-41.
Bank Respublika: 4244 4848 4305 6726.






Sonxeber.az
Telegramda izləyin
Sosial Baxılıb: 441 Tarix: 06 mart 2024
Şikayətiniz varsa Whatsapp: 077 7125666
Facebookda Paylaş
Şəxsi məlumatlarınızı paylaşmayın! - Prokurorluqdan xəbərdarlıq (VİDEO)
Müasir dövrdə informasiya-kommunikasiya texnologiyalarının sürətli inkişafı cəmiyyətin bütün sahələrinə müsbət təsir göstərsə də, paralel olaraq kibercinayətkarlıq risklərini də artırmışdır. Şəxsi məlumatların oğurlanması, onlayn dələduzluq, fişinq hücumları, kiberzorakılıq və zərərli proqram təminatlarını
18 fevral3 şüşə sudan alınan qiymətə baxın - FOTO
Bursanın Mudanya rayonunda fəaliyyət göstərən bir müəssisədə 3 şüşə su üçün 600 TL ödəniş edilməsinə dair paylaşımlar sosial mediada yayılaraq diqqət çəkdi. türk mediasına istinadən xəbər verir ki, paylaşımlardan sonra Ticarət Nazirliyi dərhal araşdırmaya başladı. Aparılan yoxlamalar zamanı müəssisəd
18 fevralBirmənbə metodu ilə 1 milyonluq sifariş alan "Baku Rent Service" kimindir?
Elm və Təhsil Nazirliyinin Təsərrüfat Hesablı Əsaslı Tikinti və Təchizat İdarəsi "Baku Rent Service" MMC ilə satınalma müqaviləsi imzalayıb. Qaynarinfo-nun məlumatına görə, müqavilədə Abşeron-Xızı və Dağlıq Şirvan regional təhsil idarələrinin əhatə etdiyi inzibati ərazi daxilində şagirdləri
18 fevralAdil Əliyevə buna görə töhmət verilib
Xəbər verdiyimiz kimi, bu gün Bakı Şəhər İcra Hakimiyyətində keçirilən müşavirədə Suraxanı Rayon İcra Hakimiyyətinin başçısı Adil Əliyevə töhmət verilib. Trend-in əldə etdiyi məlumata görə, A.Əliyevə töhmət verilməsinə səbəb rayon ərazisində qanunsuz tikintilərin sayının çoxluğu olub. Belə ki, müşavirəd
17 fevralRamazan ayının ilk gününün duası - İmsak və iftar vaxtı
Sabah Ramazan ayının ilk günüdür. "Qafqazinfo" xəbər verir ki, imsak vaxtı 06:04-ə, iftar isə 18:34-ə təyin olunub. Birinci günün imsak duası:. "Allahumməc-əl siyami fihi siyaməs-saiminə və qiyami fihi qiyaməl-qaimin. Və nəbbihni fihi ən növmətil-ğafilin. Vəhəb li cürmi fihi ya ilahəl-aləmin
18 fevralBu gecə niyyət axşamıdır
Bu gecə müqəddəs Ramazan ayının ilk gecəsi və ilk niyyət axşamıdır. "Qafqazinfo" xəbər verir ki, bu axşam müsəlmanlar bütün Ramazan ayı boyunca tutacaqları oruc üçün niyyət edəcəklər. Artıq sabahdan etibarən Ramazan ayı başlayır. Bu ay islam dininin müqəddəs kitabı - Qurani-Kərimin nazil olduğu
18 fevralRusiyada daha bir nazir SAXLANILDI
Rusiyada daha bir nazir saxlanılıb. xarici mediaya istinadən xəbər verir ki, Rusiyanın Başqırdıstan Respublikasının mədəniyyət naziri Amina Şafikova saxlanılıb. Qeyd edək ki, bu barədə TASS-a hüquq-mühafizə orqanlarından məlumat verilib. Məlumatda xanım nazirin fevralın 18-də saxlanıldığı vurğulanıb
18 fevralAlyona Əliyeva Ramazan ayının başlaması ilə bağlı paylaşım edib
Azərbaycan Respublikasının Prezident İlham Əliyevin gəlini Alyona Əliyeva sosial şəbəkədəki şəxsi səhifəsində Ramazan ayının başlaması ilə bağlı paylaşım edib. Alyona Əliyevanın həmin paylaşımını təqdim edir:. "Ramazan ayının gəlişi mübarək olsun. Allah bu müqəddəs ayda tutduğunuz orucları və etdiyini
18 fevral