İnsan beyninin ən aydın görüntüsü dərc olunub - VİDEO

İnsan beyninin ən aydın görüntüsü dərc olunub - VİDEOElm adamları insan beyninin ən aydın görüntüsünü dərc ediblər. Şəkli dünyanın ən güclü maqnit rezonans tomoqrafiya (MRT) cihazı ilə əldə etmək mümkün olub.

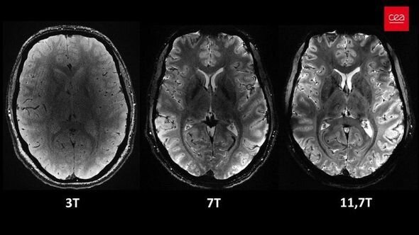
Fotonu Fransa Atom Enerjisi və Alternativ Enerji Agentliyi (CEA) yayımlayıb.

Bildirilib ki, "Iseult" adlı MRT cihazı ilə çəkilən şəkil 20 ildən çox davam edən araşdırma nəticəsində əldə olunub.

Araşdırmalar çərçivəsində MRT cihazının son bir neçə ayda təxminən 20 sağlam könüllü üzərində sınaqdan keçirildiyi və ən aydın beyin görüntüsünün təxminən dörd dəqiqə ərzində əldə edildiyi ifadə edilib.

Açıqlamada qeyd olunub ki, 11,7 Tesla maqnit gücünə malik "Iseult" cihazı ilə qısa müddətdə çəkilən görüntüləri xəstəxanalarda istifadə edilən cihazlarla əldə etmək saatlar çəkə bilər.
Məlumata görə, araşdırmalar daha bir neçə il davam edəcək.

Elm adamları bildiriblər ki, onların məqsədləri 2026-2030-cu ilə qədər psixiatriya sahəsində şizofreniya və bipolyar pozğunluq, həmçinin neyrodegenerativ kimi bir çox xəstəlikləri araşdırmaqdır.

"Iseult" ilə əldə edilən ultra detallı anatomik məlumatların Altsheymer və Parkinson kimi xəstəliklərin diaqnozuna kömək edəcəyi gözlənilir.


Sonxeber.az
Telegramda izləyin
Maraqlı   Baxılıb: 1332   Tarix: 04 aprel 2024  

Şikayətiniz varsa Whatsapp: 077 7125666

Facebookda Paylaş


Oxşar xəbərlər

.

Məşhur futbolçu məşqlərə səccadə ilə qatıldı

Məşhur futbolçu Kenan Yıldızın məşqlərə və oyunlara səccadə ilə qatılması sosial şəbəkələrdə geniş müzakirələrə səbəb olub. xarici mediaya istinadən xəbər verir ki, gənc futbolçunun səccadə ilə klubun bazasına daxil olduğu anlar qısa müddətdə yayılaraq azarkeşlərin diqqətini çəkib. Onun bu davranış

6 may
.

Zəkanın yalnız anadan keçməsi mifi: Genetiklər nə deyirlər?

İntellektin əsasən anadan irsən keçməsi barədə yayılan fikirlər həqiqəti əks etdirmir. xəbər verir ki, bu barədə " nəşrinə Göttingen və Sibir Federal universitetlərinin professoru, Rusiya Elmlər Akademiyasının Ümumi Genetika İnstitutunun aparıcı tədqiqatçısı, rusiyalı genetik Konstantin Krutovsk

6 may
.

Wi-Fi siqnalını tez gücləndirmək üçün sadə məsləhətlər

Mütəxəssislər əlavə avadanlıq almadan evdə Wi-Fi siqnalını necə yaxşılaşdırmağın yollarını izah ediblər. xarici mediaya istinadən xəbər verir ki, mütəxəssislər əksər hallarda əlaqə problemlərinin provayderlə və ya routerin nasazlığı ilə deyil, xarici amillərlə bağlı olduğunu hesab edirlər. Siqnalın keyfiyyətin

8 may
.

Kleopatra həqiqətən ilan səbəbindən ölüb?

Tarixin ən çox müzakirə olunan qadın fiqurlarından biri olan Kleopatra Miladdan əvvəl 30-cu ildə vəfat edərkən arxasında minilliklər boyu davam edən bir sirr buraxıb. Roma İmperiyasının yüksəlişi qarşısında dayanmaqda çətinlik çəkən və Aktium döyüşündəki məğlubiyyətdən sonra çətin vəziyyətə düşən kraliçanı

6 may
.

Qardaşından İbrahim Tatlısəsə sərt ittiham: "Sənət həyatımı bitirmək üçün əlindən gələni edib"

Məşhur müğənni İbrahim Tatlısesin qardaşı Hüseyn Tatlı, illərdir davam edən səssizliyini pozaraq ailə daxilindəki sənət qarşıdurması ilə bağlı səs-küy yaradacaq açıqlamalar verib. Türkiyə mediasına istinadla xəbər verir ki, qardaşının onun karyerasına dəstək olmaq əvəzinə, maneə törətdiyini iddia edib

8 may
.

Günorta yuxusundan sonra niyə yorğunluq hiss edirik? - Mütəxəssisdən açıqlama

"Bəzi hallarda insanlar yuxudan oyandıqdan sonra gümrahlıq deyil, əksinə, yorğunluq və süstlük hiss edirlər". xəbər verir ki, kardioloq və yuxu üzrə ekspert Natalya Zolotaryova "İzvestiya" nəşrinə müsahibəsində bu problemin səbəblərindən danışıb. Ekspertin fikrincə, bu vəziyyət insanı

7 may
.

Alimlər insanların oyaq ikən də yuxu görə bildiyini aşkarlayıblar

Son elmi araşdırmalar insanların təkcə yuxu vəziyyətində deyil, eyni zamanda oyaq olduqları zaman da yuxugörməyə bənzər hallar yaşadıqlarını üzə çıxarıb. xəbər verir ki, bu maraqlı faktı Paris Beyin İnstitutunun tədqiqatçısı Nikolas Dekat Böyük Britaniyanın "Daily Mail" nəşrinə müsahibəsind

6 may
.

6 ildən sonra konsert verəcək, biletlər 40 dəqiqəyə satıldı

Türkiyəli məşhur rok müğənnisi Şebnem Ferah uzun sürən fasilədən sonra yenidən səhnəyə qayıdır. xarici mediaya istinadən xəbər verir ki, müğənninin iyunun 3-də İstanbul şəhərində keçiriləcək konserti üçün satışa çıxarılan biletlər cəmi 40 dəqiqə ərzində tamamilə tükənib. Minlərlə pərəstişkarın bile

8 may
.

Acqarına məşq edənlərin nəzərinə: Hansı hallarda qidalanmaq mütləqdir?

Səhər yeməyi yemədən idman etmək yalnız yüngül fiziki aktivlik zamanı məqbul sayılır. Ağır güc məşqlərinə başlamazdan bir neçə saat əvvəl qidalanmaq isə başgicəllənmə hallarının və mümkün zədələrin qarşısını almaq üçün vacibdir. xəbər verir ki, bu barədə fitnes təlimçisi İrina Maltseva " portalın

6 may