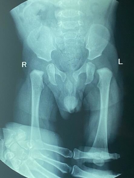
8 aylıq Zeydin müalicəyə ehtiyacı var: "Maddi cəhətdən tam tükənmişik" - FOTO
8 aylıq Zeydin yardıma ehtiyacı var.
Bu barədə Oxu.Az-a onun anası Mira Pənahlı məlumat verib.
O bildirib ki, övladında anadangəlmə oynaq başcıqları formalaşmayıb.
"Zeyd 8 aylıqdır. Anadan olanda onda oynaq başcıqlarının formalaşmadığını öyrəndik. İlk gündən də müalicələrə başlamışıq. Hazırda Zeyd xüsusi korset taxır. Müalicələrini bir müddət də davam etdirib, daha sonra əməliyyat olunacaq. Hazırda müalicələr üçün 800 manata ehtiyacımız var".
Mira Pənahlı Zeydin onun tək övladı olduğunu deyib.
"Zeyd bizim tək övladımızdır. İnanın, maddi cəhətdən əlimizdən gələn hər şeyi etməyə çalışırıq. Özümüz kirayədə yaşayırıq, yoldaşım isə fəhləlik edir. Yardımsevər şəxslərdən bizə dəstək olmalarını xahiş edirəm".
Ailə ilə əlaqə: (055) 443-59-41.
Bank Respublika: 4244 4848 4305 6726.






Sonxeber.az
Telegramda izləyin
Sosial Baxılıb: 593 Tarix: 14 fevral 2024
Şikayətiniz varsa Whatsapp: 077 7125666
Facebookda Paylaş
Aprelin pensiyası bu TARİXDƏ VERİLƏCƏK
Aprel ayı üzrə pensiyaların ödəniləcəyi tarix məlum olub. -un məlumatına görə, Bakı, Sumqayıt şəhərləri və Abşeron rayonunda aprel ayı üzrə pensiyalar qrafika uyğun şəkildə ödəniləcək. Pensiyalar Bakı, Sumqayıt şəhərləri və Abşeron rayonu üzrə aprel ayının 14-də ödəniləcək. Daha sonra isə qrafikə uyğu
12 aprelİrandan Azərbaycana indiyədək 3 439 nəfər təxliyə olunub
İrandan fevralın 28-i saat 08:00-dan aprelin 11-i saat 10:00-dək Azərbaycana ümumilikdə 3 439 nəfər təxliyə olunub. "Report"un əldə etdiyi məlumata görə, təxliyə olunanların 612 nəfəri Azərbaycan vətəndaşıdır. Eyni zamanda, Çinin 735, Rusiyanın 374, Hindistanın 284, Banqladeşin 198, Tacikistanı
11 aprelİş günü QISALDILACAQ - TARİX
Azərbaycanda 26 may tarixi qısaldılmış iş günü olacaq. Əmək Məcəlləsinin 108-ci maddəsinə əsasən, bayram günündən əvvəlki iş günü bir saat azaldılır. Bu səbəbdən 27 və 28 may tarixlərində qeyd olunacaq Qurban bayramı ilə əlaqədar olaraq 26 may (çərşənbə axşamı) ölkə üzrə qısaldılmış iş günü olacaq. Qey
12 aprelAzərbaycanda həyat yoldaşına xəyanət edənləri BU CƏZA GÖZLƏYİR: YENİ QƏRAR
Azərbaycanda həyat yoldaşının xəyanəti hüquqi baxımdan müəyyən nəticələrə səbəb ola bilər. Bu hallarda zərər çəkmiş tərəf mənəvi təzminat tələb etmək hüququna malikdir. Məhkəmələrdə iddia qaldırmaqla şəxsi və ailə münasibətlərindən doğan hüquqlar qorunur. Mənəvi təzminatın miqdarı zərərin dərəcəsi v
12 aprelMehriban Əliyeva Pasxa bayramı münasibətilə paylaşım edib
Azərbaycan Respublikasının Birinci vitse-prezidenti Mehriban Əliyeva Pasxa bayramı münasibətilə sosial şəbəkə hesablarında paylaşım edib. xəbər verir ki, paylaşımda deyilir: "Pasxa bayramı münasibətilə Azərbaycanın xristian icmasını səmimi-qəlbdən təbrik edir, bütün həmvətənlərimizə möhkəm cansağlığ
12 aprelTərtərdə iki qadın DÖNƏRDƏN ZƏHƏRLƏNDİ
Tərtər rayonunda iki nəfər dönərdən zəhərlənib. -a istinadən xəbər verir ki, hadisə aprelin 10-da qeydə alınıb. Tərtər şəhər sakinləri - 199-cu il təvəllüdlü Şəfaqət İslam qızı Paşayeva və 1983-cü il təvəllüdlü Nuranə Ədalət qızı Məmmədova qidadan zəhərlənmə diaqnozu ilə xəstəxanaya gətiriliblər. Məlumat
11 aprelAzərbaycanda bu şəxslərə ayda 2200 AZN VERİLİR - SİYAHI
Məlum olduğu kimi,Azərbaycanda Vətənin müdafiəsi uğrunda iştirak etmiş və Vətən müharibəsi qəhrəmana adı almış şəxslərə aylıq təqaüd verilir. Bəs,Vətən müharibəsi qəhrəmana adı almış şəxslərə verilən Azərbaycan Respublikası Prezidentinin təqaüdünün məbləği nə qədərdir?. xəbər verir ki, Vətən müharibəs
12 aprel