Dünyada xəbərlər
Bənövşəyi dünya hipotezi: Yer planeti bir zamanlar mor rəngdə olubmu?
Kosmosdan baxıldığında parlaq mavi bir daş kimi görünən Yer kürəsi ilk dövrlərində tamamilə fərqli bir rəngdə olmuş ola bilər. Yaşıl bitkilər və mavi okeanların üstünlük təşkil etdiyi bu günkü mənzərədən çox əvvəl, erkən Yerə yumşaq bənövşəyi çalarların hakim olduğu düşünülür. Qaynarinfo xəbər veri
16 oktyabr
Hotel, restoran, lüks maşın və TV kanalları... - "İmperator"un sərvəti
Türkiyəli məşhur müğənni, "İmperator" ləqəbli İbrahim Tatlıses bu dəfə sərvəti ilə gündəmə gəlib. "Qafqazinfo" xəbər verir ki, bu barədə yerli KİV məlumat yayıb. Bildirilib ki, İ.Tatlısesin Türkiyənin müxtəlif bölgələrinə yayılmış mülkləri, hotelləri, restoran zəncirləri və medi
16 oktyabr
Milyarderlərin olduğu "Titan"ın batma səbəbi üzə çıxdı
ABŞ Milli Nəqliyyat Təhlükəsizliyi Şurasının (NTSB) hesabatına görə, "OceanGate" şirkətinə məxsus "Titan" sualtı aparatı texniki tələblərə cavab verməyən konstruksiya səbəbilə qəzaya uğrayıb. xəbər verir ki, araşdırma nəticəsində batiskafın karbon lifindən hazırlanmış gövdəsində çatla
16 oktyabr
Arxeoloqlar qədim quyuda 1.800 illik cəsədlər tapıbdılar
Xorvatiyanın şərqində aparılan arxeoloji qazıntılar zamanı qədim bir quyunun dibində Roma əsgərlərinə aid qalıqlar aşkarlanıb. xarici mediaya istinadən xəbər verir ki, yeddi nəfərə məxsus skeletlərin tam şəkildə qorunub saxlanması tədqiqatçılar tərəfindən diqqətlə qeyd olunub. Bu tapıntılar təxminə
16 oktyabr
Ukraynada həlak olan azərbaycanlı hərbçi dəfn edildi - Video
Rusiya-Ukrayna müharibə zonasında həlak olan azərbaycanlı hərbçi dəfn edilib. "Qafqazinfo" xəbər verir ki, əslən Şirvan şəhərindən olan Ukrayna vətəndaşı 30 yaşlı Faiq Şofel (anasının soyadını götürüb) Odessadakı "Zabitlər evi"ndə keçirilən mərasimdən sonra torpağa tapşırılıb. Yerl
16 oktyabr
"Yabancı damat"ın "Memik Dədə"si öldü
"Yabancı damat" serialındakı "Memik Dədə" obrazı ilə yaddaşlarda qalan türkiyəli aktyor Arif Erkin Güzelbeyoğlu vəfat edib. Türkiyə mediasına istinadla xəbər verir ki, aktyor bu gün səhər saatlarında dünyasını dəyişib. Qeyd edək ki, Arif Erkin Güzelbeyoğlu "Bizimkilər"
16 oktyabr
50 il özünü kor göstərərək dövlətdən pul alıb
İtaliyada 70 yaşlı kişi 50 ildən çoxdur kor olduğunu iddia edərək dövlət tərəfindən əlillik müavinəti alıb. xəbər verir ki, Vicenzada yaşayan şəxs, iş yerindəki qəza sonrası kor olduğunu göstərib və 53 il ərzində qanunsuz olaraq 1 milyon avrodan çox pul əldə edib. Maliyyə polisi onun hərəkətlərini izləyi
15 oktyabr
Dünya qaralır - NASA-dan xəbərdarlıq
NASA-nın peyk müşahidələrinə əsasən, Yer son 24 ildə Günəş işığını daha az əks etdirməyə başlayıb. Bu "qaralma" tendensiyası xüsusilə Şimal yarımkürəsində nəzərə çarpır və iqlim dəyişikliyinin ciddi əlaməti hesab olunur. "Qafqazinfo" xarici KİV-ə istinadən xəbər verir ki, araşdırm
15 oktyabr
Telefon asılılığı olan gənc: "Əlimdə olsa nə tualetə gedərəm, nə də yemək yeyərəm" - FOTO
Türkiyənin Kahramanmaraş vilayətində baş verən zəlzələlərdə evini itirən 50 yaşlı Semra Özbay və 23 yaşlı oğlu Barış Özbay, hazırda Hatayın Defne rayonunda həyatlarını davam etdirirlər. türk mediasına istinadən xəbər verir ki, zəlzələdə həm evlərini, həm də ailə üzvlərini itirən ailə artıq üç ildir ağı
15 oktyabr
Bu gün Putinlə görüşəcək
Kreml Suriyanın keçid dövrü Prezidenti Əhməd əl-Şaraanın bu gün Rusiyaya planlaşdırılan səfəri barədə məlumat yayıb. "Qafqazinfo" xəbər verir ki, məlumatda Əhməd əl-Şaraanın səfər zamanı Rusiya Prezidenti Vladimir Putinlə görüşəcəyi bildirilib. Tərəflərin Rusiya və Suriya arasında siyasi, iqtisad
15 oktyabr
Avroviziyaya ev sahibliyi edəcək ölkədən sərt xəbərdarlıq: "İsrail olmayacaqsa, biz də yoxuq"
Avroviziya Mahnı Müsabiqəsi İsrailin Qəzzadakı hücumlarına görə diplomatik böhrana çevrilib. İspaniya, İrlandiya, İslandiya, Niderland, Sloveniya və Belçika İsrail müsabiqədən kənarlaşdırılmasa, yarışmanı boykot edəcəklərini açıqlayıblar. xarici mediaya istinadən xəbər verir ki, lakin yarışmaya ev sahibliy
15 oktyabr
Vəhşi təbiəti izləmək üçün ən yaxşı yerlər açıqlandı
Dünyada getdikcə daha çox turist təbiətlə birbaşa təmasda olmağa imkan verən istiqamətləri seçir. Xüsusilə quş müşahidəsi (birdwatching) son illərdə böyük populyarlıq qazanıb. Əvvəllər bu, dar ixtisaslı səyyahlar üçün sahə sayılırdısa, indi istənilən səyyah üçün maraqlı və rahat fəaliyyət növünə çevrilib
14 oktyabr
Paşinyan iş gününə bu mahnı ilə başlayır - VİDEO
Ermənistanın baş naziri Nikol Paşinyan iş gününə məşhur rus ifaçısı Zemfiranın "Məni bağışla, sevgilim" ("Прости меня, моя любовь") mahnısı ilə başladığı məlum olub. xəbər verir ki, məlumata görə, Paşinyan bu mahnını hər səhər dinləmək vərdişinə çevrilib. İzləyicilər Zemfiranın mahnısını
14 oktyabr
Tramp Ərdoğandan danışdı
ABŞ Prezidenti Donald Tramp Qəzzada tətbiq olunan atəşkəslə bağlı açıqlamasında Türkiyə, Qətər, Misir və BƏƏ başda olmaqla bir çox müsəlman ölkələrinin bu prosesə əhəmiyyətli şəkildə dəstək verdiyini bildirib. xəbər verir ki, Tramp Türkiyə Prezidenti Rəcəb Tayyib Ərdoğanın rolunu xüsusilə qeyd edib
14 oktyabr
"Time"dakı fotosunu bəyənmədi - Silinməsini istəyir
ABŞ Prezidenti Donald Tramp "Time" jurnalının üz qabığında yer alan fotosunu bəyənməyib. "Qafqazinfo" xəbər verir ki, ABŞ lideri bu barədə sosial şəbəkə hesablarında paylaşım edib. Tramp jurnalın onun Qəzzada barışığa dair səylərindən bəhs edən məqaləsini bəyənsə də, fotonun silinməsin
14 oktyabr
Putinlə Tokayev telefonla danışdı
Rusiya və Qazaxıstan prezidentləri Vladimir Putinlə Kasım-Jomart Tokayev arasında telefon danışığı baş tutub. "Qafqazinfo" xəbər verir ki, bu barədə məlumatı Kremlin Mətbuat xidməti yayıb. Bildirilib ki, tərəflər iki ölkə arasında tərəfdaşlığın və müttəfiqliyin möhkəmləndirilməsi, eləcə d
14 oktyabr
Dünyanın ən böyük qızıl yatağı tapıldı - 1100 ton, 83 milyard dollar...
Çin geoloqları nəhəng hesab edilən yeni qızıl yatağı aşkar ediblər. Qaynarinfo xəbər verir ki, bu barədə "Popular Mechanics" jurnalı məlumat yayıb. Mütəxəssislərin fikrincə, bu yataq təkcə qızıl deyil, bütün qiymətli metallar arasında indiyə qədər məlum olan ən böyük yataq ola bilər. Onları
13 oktyabr
Rusiyada Şaxta baba iş adamını öldürdü
Çuvaşiya Respublikasında 72 yaşlı rusiyalı təqaüdçü bir sahibkarı öldürməkdə ittiham olunaraq 12 il ciddi rejimli həbs cəzasına və 70 min rubl məbləğində cəriməyə məhkum edilib. xəbər verir ki, məhkəmənin müəyyən etdiyinə görə, təqsirləndirilən şəxs və zərərçəkmiş arasında şəxsi ədavət olub. Yanvarı
13 oktyabr
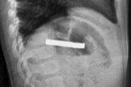
3 yaşlı uşağın boğazından 19 maqnit çıxarıldı
Türkiyədə 3 yaşlı uşağın boğazından 19 ədəd maqnit çıxarılıb. Ölkə.az xəbər verir ki, Ərzurumda uşaq evdə tapılan 19 maqniti udub. Vəziyyəti pisləşəndən sonra ailə xəstəxana ilə əlaqə saxlayıb. Uşaq daha sonra Elazığa köçürülüb. Fırat Universitetinin Uşaq Qastroenterologiyası, Hepatologiya və Qidalanm
13 oktyabr
Ərdoğan Meloninin bu vərdişi ilə zarafatlaşdı - Video
Türkiyə Prezidenti Rəcəb Tayyib Ərdoğanla İtaliyanın Baş naziri Giorgia Meloni arasında maraqlı dialoq olub. "Qafqazinfo" xəbər verir ki, bu, Şarm əl-Şeyxdə keçirilən Yaxın Şərq Sülh Sammiti çərçivəsində baş tutub. Belə ki, Melonini yaxşı gördüyünü deyən Ərdoğan, onu siqaret vərdişinə gör
13 oktyabr
Bağında qurd axtarırdı, xəzinə tapdı - Fotolar
İsveçdə bir adam bağında qurdlar və soxulcanlar axtararkən orta əsrlərə aid xəzinə ilə rastlaşıb. Ölkə.az xəbər verir ki, Stokholm ətrafında bir sakin qurdlar tapmaq üçün bağçasını qazıb və bu zaman yerin altında ağzına qədər gümüş sikkələr, üzüklər, kulonlar və boyunbağılarla dolu köhnə mis küp çıxıb
13 oktyabr
Nigeriyada qanlı toqquşma: 15 Boko Haram üzvü öldürüldü
Nigeriyada ordu qüvvələri ilə Boko Haram terror təşkilatı arasında baş verən silahlı toqquşmada 15 terrorçu məhv edilib, bir çoxu isə yaralanıb. xarici mediaya istinadən xəbər verir ki, Hadin Kai əməliyyatının komandirlərindən Uba Saninin açıqlamasına görə, insident Borno ştatının Kaqa bölgəsində ba
13 oktyabr
Bəşər Əsədlə bağlı bu məlumatları yalanladı
Rusiyanın xarici işlər naziri Sergey Lavrov Suriyanın keçmiş prezidenti Bəşər Əsədin Moskvada zəhərlənməsinə cəhdlərin olması barədə yayılan məlumatlara münasibət bildirib. "Qafqazinfo" xəbər verir ki, S.Lavrov bu barədə ərəb ölkələrinin media nümayəndələri üçün mətbuat konfransında danışıb
13 oktyabr
Ata azyaşlı qızını binadan atdı
Başqırdıstanın Ufa şəhərində bir kişi azyaşlı qızını 4-cü mərtəbədən atıb. Rusiya mediasına istinadla bildirir ki, bu barədə şəhər meri Ratmir Mavliyev məlumat verib. Onun sözlərinə görə, 3 yaşlı qız uşağı möcüzə nəticəsində sağ qalıb. O, ağır vəziyyətdə xəstəxanaya yerləşdirilib. 34 yaşlı kişi saxlanılıb
12 oktyabr
Tramp: ABŞ noyabrın 1-dən Çin mallarına 100 % rüsum tətbiq edəcək
ABŞ Prezidenti Donald Tramp bildirib ki, Vaşinqton Çinə gömrük rüsumlarını 100 % artıracaq və noyabrın 1-də və ya ondan əvvəl ixrac nəzarəti tətbiq edəcək. "Report"un məlumatına görə, o, bununla bağlı "Truth Social"da paylaşım edib. Trampın sözlərinə görə, Çinin son dərəcə aqressi
12 oktyabr
ABŞ Çinlə ticarət müharibəsinə girmək istəmədiyini açıqlayıb
Rəsmi Vaşinqton Çinlə ticarət müharibəsinə hazırdır, lakin müharibəyə başlamaq istəmir. "Report"un məlumatına görə, bunu ABŞ-nin ticarət nümayəndəsi Ceymison Qrir "Fox News"a müsahibəsində deyib. "Bu, ticarət müharibəsi olmamalıdır, lakin lazım gələrsə, biz buna getməyə hazırıq
12 oktyabr
KİV: ABŞ hərbçiləri İsrailə gəlməyə başlayıblar
ABŞ hərbçiləri Qəzza zolağında atəşkəs razılaşmasının həyata keçirilməsinə nəzarətlə məşğul olacaq mülki-hərbi koordinasiya mərkəzinin yaradılması çərçivəsində İsrailə gəlməyə başlayıblar. bildirir ki, bu barədə CNN telekanalı Pentaqondakı mənbəyə istinadən xəbər verib. Qeyd olunub ki, İsraildə təxminə
12 oktyabr
Tramp Çin mallarına 100 faiz rüsumlar tətbiq edəcəyini bəyan edib
"Vaşinqton noyabrın 1-dən və ya daha əvvəl Çinə qarşı gömrük rüsumlarını 100% artıracaq, həmçinin ixrac nəzarəti tədbirlərini tətbiq edəcək". bildirir ki, bu sözləri ABŞ Prezidenti Donald Tramp "Truth Social" platformasında yazıb. Onun sözlərinə görə, yenicə məlum olub ki, Çin ço
12 oktyabr
Tramp ABŞ-də benzinin qiymətinin ucuzlaşacağını gözləyir
ABŞ Prezidenti Donald Tramp ölkədə benzinin qiymətinin bir qallon üçün 2 dollardan (3,785 litr) aşağı düşəcəyini gözləyir. "Report"un məlumatına görə, bu barədə o, Ağ Evdə jurnalistlərlə görüşündə bildirib. "Ərzaq qiymətlərində, xüsusən neftin qiymətlərində əhəmiyyətli endirimlərə nai
12 oktyabr
İran Aİ-3 ilə danışıqlar aparmaq niyyətində deyil
Tehran hakimiyyəti sanksiyaların bərpası fonunda Aİ3 ölkələri (Böyük Britaniya, Almaniya və Fransa) ilə İranın nüvə probleminə dair danışıqları bərpa etmək üçün heç bir səbəb görmür. "Report" xəbər verir ki, bu barədə İranın xarici işlər naziri Abbas Əraqçi deyib. "İran üç Avropa dövlət
12 oktyabr
Ermənistanda ARA QARIŞDI: Xocalı qatili "SAVAŞ MESAJI" verdi
Dünyada neçə pişik var? Hesablamalar aparılıb
"2026-cı il Azərbaycanda böhranın başlanğıcı olacaq"- iqtisadçı NATİQ CƏFƏRLİ
Nərimandan tənqidlərə "cavab"
Bakıda ət bahalaşdı - YENİ QİYMƏT
Təzə avtomobil aldı, paspası qaldıranda həyatının şokunu yaşadı - VİDEO
Bakıda əhalini SEVİNDİRƏCƏK XƏBƏR - Bu ərazidə...
Bu tarixdə GÜCLÜ KÜLƏK OLACAQ - SARI XƏBƏRDARLIQ
Azərbaycan Universitetində bədbəxt hadisə
Vüqar Əhməd saxlanılıb? - Özü danışdı+Yenilənib
Qəzada həlak olan Ramaldanova və yaxınının FOTOSU
Paytaxt restoranlarında Yeni il qiymətləri
Yeni il niyə yanvardın 1-i qeyd edilir? - maraqlı FAKTLAR
Həkim məsləhəti: Kitab oxumağın insan sağlamlığına FAYDALARI
Bəzi yerlərdə yollar buz bağlayacaq - Xəbərdarlıq
